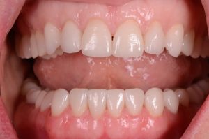
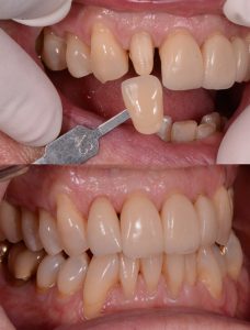
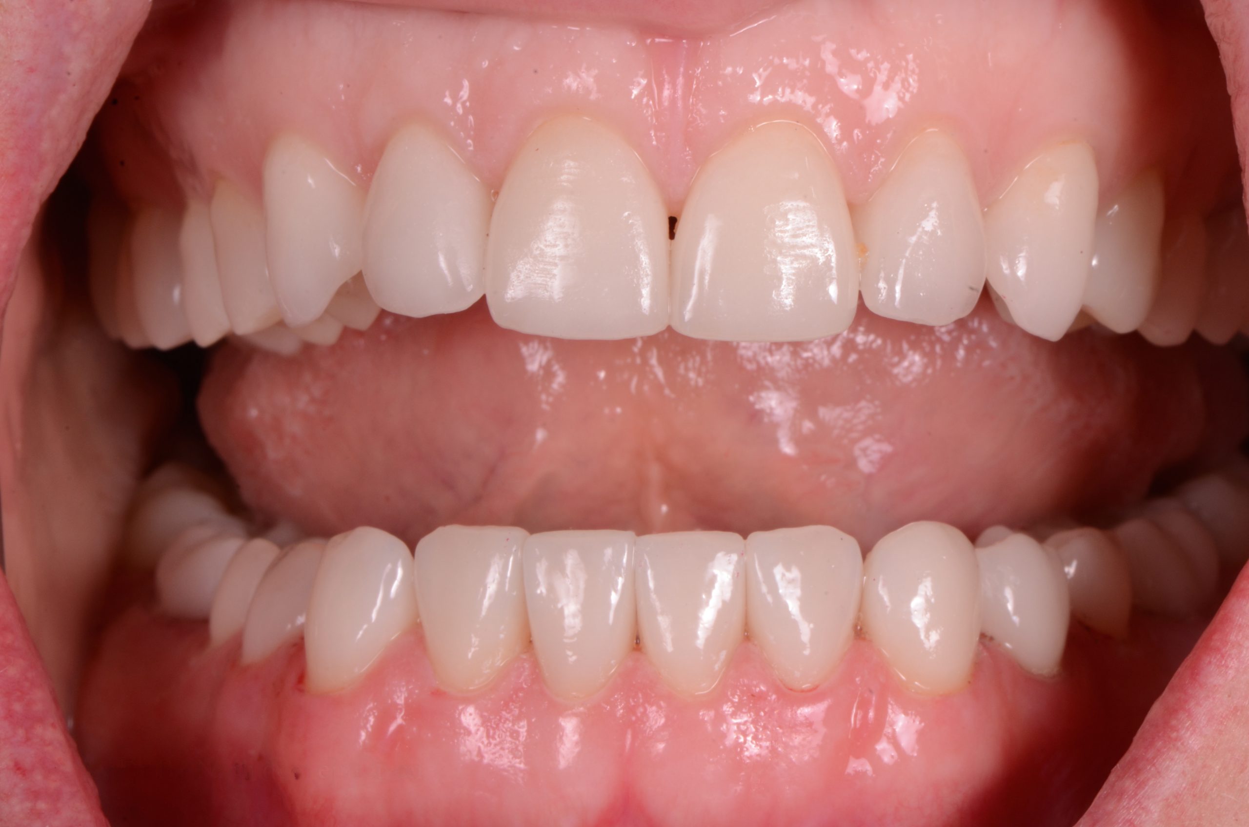
profesionalne usluge za Ordinacije i laboratorije Dobro došli na web stranicu zubotehničke laboratorije Oral Concept. Radimo s ciljem poboljšanja kvaliteta života i održavanja zdravlja pacijenta. Zadovoljstvo klijenata je naš najveći prioritet.Jedino merilo svakog rada jeste kvalitet. USLUGE Ponuda usluga zastomatološke ordinacije ORAL Ponuda usluga zazubotehničke laboratorije DIGITAL RADOVI LABORATORIJA PARTNERI Previous Next KONTAKT Telefon +381 64 961 7002 Email info@oralconceptbelgrade.com adresa Ustanička 10, Beograd Radno vreme ponedeljak - petak: 9h - 18h pošaljite nam poruku Please enable JavaScript in your browser to complete this form.Ime *Vaš Email *Naslov *Unesite vašu poruku *CommentPošalji